Skip to content
Dental
Facial Aesthetics
Book ONLINE Now
020 4542 0155
WhatsApp us
book online now
Whatsapp Us
Upload Your Smile
Take A Selfie From Multiple Angles
Upload Up To 10 Photos
Both A Smiling & A Relaxed Face
Our Patient
Testimonials
Dont’t Take Our Word For It.
See Our Patients Results!
BOOK YOUR APPOINTMENT TODAY!
Dental Treatments
General Dentistry
TMJ Treatment
Hygiene Treatments
Cosmetic Dentistry
Orthodontics
Dental Implants
Specialist Dentistry
Sedation
Nervous Patients
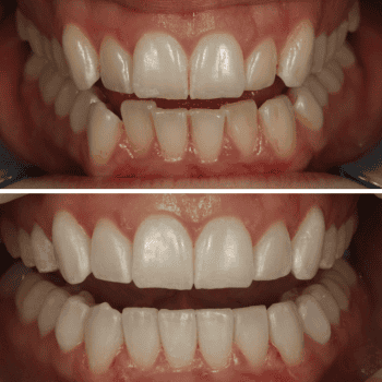
Before & After
Aesthetics Treatments
Dermal Fillers
Face & Body Treatments
Anti Wrinkle Treatments
Skin Treatments & Mesotherapy
Medical Grade Skin Care
Fee Guide
Patient Finance
Meet The Team
Refer a Patient
Blog
Contact Us
Careers