Invisalign First

From £3500

Open Monday - Saturday 9am to 6pm

What are Invisalign First ?

At our clinic, dental Invisalign First treatment is a specialized orthodontic solution designed specifically for younger patients, typically between the ages of 6 and 10. It utilizes a series of clear, removable aligners to gradually guide your child’s teeth into proper alignment.

These aligners are custom-made to fit comfortably and discreetly over your child’s teeth, offering a more aesthetic and convenient alternative to traditional braces.
The benefits of dental Invisalign First treatment are numerous. Firstly, it can address common orthodontic issues at an early age, allowing for proactive intervention and potential prevention of more extensive treatments later in life.

Secondly, the clear aligners are virtually invisible, making them an attractive option for children who may be self-conscious about wearing braces. Additionally, Invisalign First aligners are removable, enabling easy oral hygiene maintenance and the freedom to enjoy their favorite foods without restrictions.

Fees

From £3500

Duration

15 minutes

Discomfort Level

1 out of 5

Downtime

Minimal

Average Appointments

Once yearly

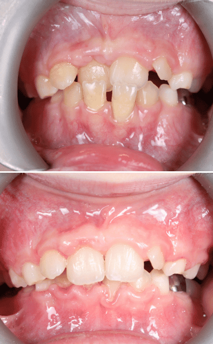
Before and After Invisalign First

Natural Looking Results

Benefits of Invisalign First

There are several benefits to Invisalign First , which is why it’s such a popular option with many patients in our London practice. We’ve gone over just a few of the Invisalign First benefits below.

Early Intervention

Address orthodontic issues at a young age, potentially avoiding more extensive treatments in the future.

Aesthetic Appeal

Clear aligners offer a discreet treatment option, boosting your child's confidence and self-esteem.

Removability

Invisalign First aligners are removable, allowing for easy maintenance of oral hygiene and the freedom to eat favorite foods.

Customized Treatment

Each set of aligners is custom-made for your child, ensuring a precise and tailored treatment plan.

Why Have Invisalign First At Twoth

Choosing Twoth ensures unparalleled care and exceptional results. With a world-class team of professionals and personalized treatment, trust us for transformative dental and facial aesthetic treatments. A CQC registered clinic, Twoth combines expertise, advanced techniques, and a luxurious environment for the smile or rejuvenation you deserve.

Meet Your Clinician...

Dr. Simmi Daryani

General & Cosmetic Dentist

Dr Simmi is most passionate about minimally invasive aesthetic dentistry and teeth straightening. She has successfully completed over 600 Invisalign cases and with her dedicated to post-graduate training, Dr Simmi has completed a PG Diploma in Clear Aligner Orthodontics, a PG Certificate in Fixed Orthodontics and a PG Certificate in Aesthetic & Restorative Dentistry.

Advanced Imaging Technology

Where cutting-edge technology meets dental excellence. As a premier digital dental clinic, we pride ourselves on harnessing the power of the latest advancements in dental technology to provide you with the highest standard of care. Our commitment to innovation ensures that your dental experience is not only efficient but also remarkably precise and comfortable.

Become a New Patient Today!

From general to cosmetic to specialist dentistry, we provide 0% payment plans to help separate the fees of your treatment.

What Happens At A Invisalign First Appointment

Your Implant Retained Dentures treatment will be tailored to your exact requirements; therefore, one treatment can be very different from the next. However, we’ve provided a basic overview of a Implant Retained Dentures below.

First step

Consultation

During the consultation, our orthodontic specialist will evaluate your child's dental condition, discuss treatment goals, and answer any questions you may have regarding Invisalign First.

second step

Preparation

During the consultation, our orthodontic specialist will evaluate your child's dental condition, discuss treatment goals, and answer any questions you may have regarding Invisalign First.

third step

Treatment

The treatment involves the use of a series of clear aligners, which are custom-made for your child's teeth. These aligners will gently and gradually shift the teeth into their desired positions. Your child will switch to a new set of aligners approximately every one to two weeks as prescribed by our orthodontic specialist.

When you are done

After-Care

After completing the dental Invisalign First treatment, it is important to follow the recommended aftercare steps. These include wearing retainers as instructed by the orthodontist and attending regular follow-up appointments to monitor the progress and ensure long-term results.

Fee Guide

Treatment

Price

Invisalign Consultation plus 3D Itero Scan Complimentary
Invisalign Clear Braces £3500 – £5800
(Invisalign First, Invisalign Teen, Invisalign Lite & Invisalign Comprehensive)

After Care of Invisalign First

Wear retainers

Wear retainers as instructed by the orthodontist, typically full-time initially and then transitioning to nighttime wear.

Clean the aligners regularly

Clean the aligners regularly by gently brushing them with a soft toothbrush and mild soap or using the recommended cleaning solution.

Maintain good oral hygiene

Maintain regular dental visits for check-ups and cleanings during your Invisalign treatment.

Attend regular dental check-ups

Attend follow-up appointments as scheduled to monitor the progress and make any necessary adjustments.

Meet The Dental Team

CLINICIANS

I have now visited Twoth on three different occasion... The first time was to take my son (8 years old) to see Dr Counihan for a braces consultation and my son absolutely loved the entire experience from start to finish. In fact, he was so excited and relaxed about it all he wanted to get started immediately.

The second time around, I went to see Dr Counihan myself for a second opinion and found the experience just as good as my son did

Karin Thyselius
Rated 5 out of 5

Before I found Dr Neil Counihan I had a long history of dental trauma and sadly I repeatedly was subjected to very poor dentistry. I was scared to let anybody near my mouth and teeth. I had lost hope!

Dr Counihan made me the promise, with the right care I can keep my mouth healthy and definitely keep my teeth for the rest of my life.

And most importantly he made me feel safe and listened to

Neil M.
Rated 5 out of 5

Frequently Asked Questions

Find the answer to the most common questions. Everything you need to know about Invisalign First

Invisalign First is designed for children typically between the ages of 6 and 10 when early orthodontic intervention may be beneficial.

Yes, Invisalign First treatment can effectively address a wide range of orthodontic issues, just like traditional braces.

Some patients may experience temporary discomfort or mild pressure during the initial stages of treatment, but it usually subsides quickly.

The duration of treatment varies depending on your child’s specific needs, but it typically ranges from 6 to 18 months.

No, one of the advantages of Invisalign aligners is that they are removable, allowing your child to eat and drink without restrictions.

It is recommended to wear the aligners for 20 to 22 hours per day, removing them only for eating, drinking, brushing, and flossing.

Yes, Invisalign aligners can be temporarily removed, allowing your child to engage in sports or play musical instruments comfortably.

Coverage varies depending on your insurance plan. We can assist you in determining your coverage and exploring payment options.

Regular follow-up appointments are typically scheduled every 6 to 8 weeks to monitor progress and make any necessary adjustments.

Invisalign aligners are effective for addressing a wide range of orthodontic concerns, but severe or complex cases may require alternative treatments. Our orthodontic specialist will assess your child’s specific needs and provide appropriate recommendations.

Patient care is our top priority